
U pacjentów po utracie wszystkich zębów obie metody osiągają bardzo zbliżony poziom powodzenia, a 5‑letnie badania pokazują przeżywalność implantów na poziomie nawet 98,8–99,3 procent dla obu rozwiązań, dlatego prawdziwe różnice między All-on-4 i All-on-6 leżą gdzie indziej: w stabilności, kosztach, komforcie i dopasowaniu do warunków kostnych.
| Pytanie pacjenta | Krótka odpowiedź |
|---|---|
| 1. Na czym polega różnica między All-on-4 a All-on-6? | All-on-4 opiera się na 4 implantach, All-on-6 na 6 implantach, które podtrzymują pełny łuk zębowy; więcej implantów to zwykle większa stabilność, ale także wyższy koszt zabiegu. |
| 2. Która metoda jest szybsza i mniej inwazyjna? | All-on-4 zazwyczaj wiąże się z mniejszą liczbą implantów, krótszym zabiegiem i szybszą rekonwalescencją, co opisujemy na stronie All-on-4 w Poznaniu. |
| 3. Czy All-on-6 zawsze jest „lepszy”, bo jest go więcej? | Nie, w wielu przypadkach 4 implanty w zupełności wystarczają, choć przy słabszej kości lub większym obciążeniu zgryzowym All-on-6 może dawać większy margines bezpieczeństwa, o czym piszemy także na stronie All-on-6 w Poznaniu. |
| 4. Co z różnicą w kosztach All-on-4 vs All-on-6? | Badania wykazują, że konfiguracja 4‑implantowa jest korzystniejsza kosztowo na starcie i w całym okresie użytkowania, choć może wymagać nieco częstszych korekt protetycznych. |
| 5. Kiedy lekarz rekomenduje All-on-4, a kiedy All-on-6? | Decydują warunki kostne, rodzaj zgryzu, ewentualne parafunkcje (np. bruksizm) i oczekiwane obciążenia, co dokładnie analizujemy podczas diagnostyki na podstawie doświadczenia w implantologii pełnołukowej. |
| 6. Czy obie metody dają „zęby w jeden dzień”? | Tak, w typowych przypadkach w obu technikach możemy natychmiast obciążyć implanty mostem tymczasowym, zapewniając pacjentowi nowe zęby w jeden dzień. |
| 7. Czy różni się komfort i odczucia w codziennym życiu? | Z perspektywy pacjenta odczucia w jedzeniu i mówieniu są bardzo zbliżone, a kluczowe różnice dotyczą „zaplecza technicznego”: liczby implantów i zakresu ewentualnych poprawek protetycznych. |
All-on-4 i All-on-6 to nowoczesne metody, które pozwalają nam odtworzyć pełny łuk zębowy na stałe, bez ruchomej protezy. W obu technikach wszczepiamy implanty i już w dniu zabiegu mocujemy na nich most tymczasowy, dzięki czemu pacjent wychodzi z gabinetu z nowymi zębami.
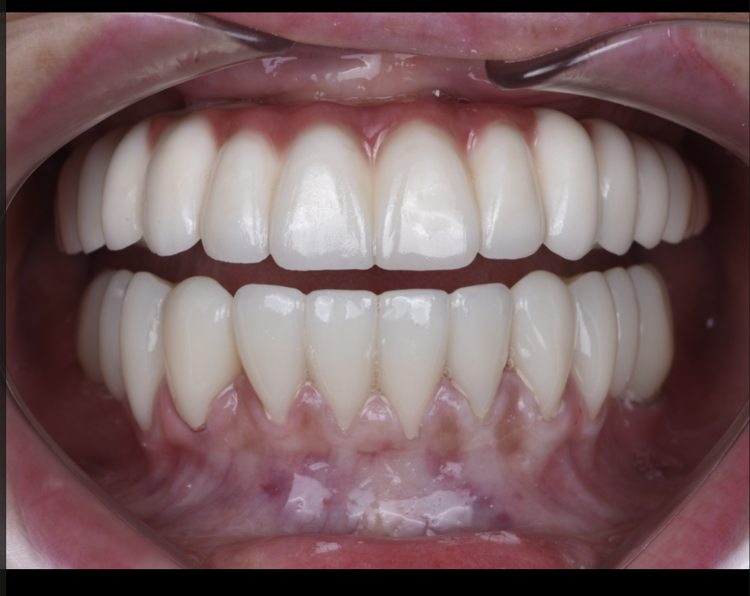
Implanty pełnią rolę korzeni, a most pełnołukowy zastępuje wszystkie zęby w szczęce lub żuchwie. Dzięki temu pacjent może gryźć, mówić i uśmiechać się jak z naturalnymi zębami, bez obaw o przemieszczanie się protezy.
Zarówno w All-on-4, jak i All-on-6 wykorzystujemy minimalną, ale wystarczającą liczbę implantów do podparcia całej rekonstrukcji. To pozwala ograniczyć zakres chirurgii, często uniknąć rozległych przeszczepów kostnych i uzyskać efekt „nowych zębów w jeden dzień”.
Najprościej, All-on-4 wykorzystuje 4 implanty, a All-on-6 opiera most na 6 implantach w jednym łuku. Większa liczba implantów oznacza zwykle szersze rozłożenie sił żucia i nieco większy margines bezpieczeństwa, ale także dłuższy zabieg i wyższy koszt.
W All-on-4 dwa implanty przednie wszczepiamy prosto, a dwa tylne pod kątem, co pozwala ominąć zatoki szczękowe lub nerw w żuchwie. Takie ustawienie daje nam stabilną podstawę do zamocowania mostu nawet przy ograniczonej ilości kości.
W All-on-6 zwykle dodajemy dwa dodatkowe implanty w strefie bocznej, co poprawia rozkład obciążeń. W praktyce ta konfiguracja jest szczególnie korzystna przy większych siłach zgryzowych, bruksizmie lub bardziej wymagających warunkach kostnych.
Długoterminowe badania porównujące 4 i 6 implantów pokazują, że przeżywalność implantów i mostów jest bardzo podobna dla obu metod. Różnice pojawiają się natomiast w liczbie drobnych komplikacji technicznych oraz w kosztach całego leczenia.
W badaniach 5‑letnich przeżywalność implantów dla rekonstrukcji na 4 implantach sięga nawet 99,3 procent, a na 6 implantach około 99 procent, bez istotnych różnic w poziomie utraty kości. Oznacza to, że pod względem trwałości obie metody są bardzo zbliżone i pozwalają pacjentom komfortowo funkcjonować przez lata.
Część prac naukowych wskazuje, że przy 4 implantach może pojawiać się więcej komplikacji technicznych, takich jak poluzowanie śruby czy złamanie elementu mostu, choć są one zazwyczaj możliwe do sprawnego rozwiązania. W rozwiązaniach na 6 implantach odsetek takich zdarzeń bywa niższy, co jest cenione szczególnie u pacjentów z dużymi siłami żucia.
Infografika prezentuje 5 kluczowych różnic między All-on-4 a All-on-6. Pomaga zrozumieć różne podejścia do implantów i podjąć świadomą decyzję.
O tym, czy zaproponujemy All-on-4 czy All-on-6, bardzo często decyduje jakość i ilość kości w szczęce lub żuchwie. U wielu pacjentów po latach bezzębia kość jest zanikła, a dobrze zaplanowany All-on-4 pozwala wtedy uniknąć rozległych przeszczepów.
Badania pokazują, że wyniki w żuchwie są zwykle nieco lepsze niż w szczęce, niezależnie od liczby implantów, co wynika z innej budowy kości. Dlatego w szczęce częściej rozważamy zwiększenie liczby implantów lub dodatkowe procedury, aby uzyskać optymalną stabilność.
All-on-4 wybieramy chętniej, gdy kość pozwala na stabilne zakotwiczenie 4 implantów w strategicznych miejscach, a pacjent nie ma bardzo nasilonych parafunkcji. All-on-6 rozważamy u osób z gorszą jakością kości, silnym zgryzem, bruksizmem lub u tych, dla których maksymalna stabilność konstrukcji ma kluczowe znaczenie.
Z perspektywy codziennego funkcjonowania większość pacjentów nie odczuwa różnicy między mostem opartym na 4 lub 6 implantach. W obu przypadkach zęby są stabilne, nie ruszają się i pozwalają normalnie gryźć oraz swobodnie się uśmiechać.
Kształt, kolor i proporcje zębów planujemy indywidualnie, niezależnie od liczby implantów pod spodem. Ważniejsze od konfiguracji All-on-4 vs All-on-6 jest dla estetyki doświadczenie technika i lekarza oraz precyzyjne dopasowanie mostu.
Dobrze zaprojektowana rekonstrukcja pełnołukowa pozwala wyraźnie mówić i jeść praktycznie wszystkie produkty spożywcze. Pacjenci często mówią, że po latach z ruchomą protezą różnica jest ogromna, niezależnie od tego, czy wybrali All-on-4, czy All-on-6.
Ponieważ All-on-6 wymaga wszczepienia 6 implantów, koszt zabiegu jest wyższy niż w przypadku All-on-4, nawet przy zbliżonych rozwiązaniach protetycznych. Badania wskazują także, że całościowe koszty w perspektywie kilku lat są zwykle korzystniejsze dla konfiguracji 4‑implantowej, mimo potencjalnie nieco większej liczby drobnych napraw.
Na ostateczny koszt składa się nie tylko liczba implantów, ale także rodzaj wykorzystanych materiałów, zakres diagnostyki, prace protetyczne i ewentualne procedury dodatkowe. Dlatego zawsze przygotowujemy indywidualny plan leczenia i kosztorys, aby pacjent od początku wiedział, czego się spodziewać.
Zarówno przy All-on-4, jak i All-on-6 konieczne są regularne wizyty kontrolne oraz profesjonalne oczyszczanie mostu i implantów. W przypadku All-on-4 może nieco częściej pojawić się potrzeba dokręcenia śrub lub naprawy fragmentu mostu, co wynika z większego obciążenia pojedynczych implantów.
Przebieg obu zabiegów jest bardzo podobny, różni się głównie liczbą wszczepianych implantów. Celem zawsze jest bezpieczne i stabilne umieszczenie implantów oraz zamocowanie mostu tymczasowego w tym samym dniu.
Najpierw wykonujemy szczegółową diagnostykę, w tym tomografię CBCT, planowanie cyfrowe oraz analizę zgryzu. Następnie w znieczuleniu miejscowym lub w sedacji wszczepiamy implanty, a po zabiegu mocujemy most tymczasowy i przekazujemy precyzyjne zalecenia pozabiegowe.
Gojenie implantów trwa zazwyczaj około 3 miesięcy, w tym czasie pacjent korzysta z mostu tymczasowego. Po tym okresie wykonujemy most docelowy, dopasowujemy go w zgryzie i planujemy kolejne wizyty kontrolne, zwykle co 6–12 miesięcy.
W naszej pracy wykorzystujemy zaawansowane systemy planowania i nawigacji, takie jak tomografia 3D, oprogramowanie CAD/CAM oraz systemy wspomagane sztuczną inteligencją. Dzięki temu precyzyjnie dobieramy pozycję implantów, niezależnie od tego, czy planujemy 4 czy 6 wszczepów.
Systemy nawigacji pozwalają w czasie rzeczywistym kontrolować kąt, głębokość i pozycję wiercenia, co przekłada się na większe bezpieczeństwo i przewidywalność. Ma to szczególne znaczenie w trudniejszych warunkach kostnych, gdzie każdy milimetr ma znaczenie dla stabilności rozwiązania All-on-4 lub All-on-6.
Algorytmy AI pomagają analizować dane z badań obrazowych, przewidywać obciążenia i wspierać lekarza w wyborze optymalnej konfiguracji implantów. Dzięki temu możemy jeszcze lepiej dopasować plan leczenia do indywidualnej anatomii pacjenta i jego oczekiwań.
Każda metoda implantologiczna wiąże się z pewnym ryzykiem, ale przy właściwym planowaniu i doświadczeniu zespołu powikłania są rzadkie. Wybierając między All-on-4 a All-on-6, zawsze bierzemy pod uwagę ogólny stan zdrowia pacjenta, jakość kości, styl życia i oczekiwania.
All-on-4 jest bardzo dobrym wyborem u pacjentów, którzy chcą ograniczyć zakres chirurgii, mają umiarkowanie zanikłą kość i nie wykazują silnego bruksizmu. To także rozwiązanie korzystne, gdy priorytetem jest szybka odbudowa zębów przy rozsądnym poziomie kosztów.
All-on-6 rozważamy tam, gdzie spodziewamy się większych obciążeń zgryzowych, gdzie kość jest słabsza lub gdy pacjent należy do grupy podwyższonego ryzyka, na przykład u silnych zgrzytaczy. Dwa dodatkowe implanty mogą wtedy działać jak „bufor bezpieczeństwa”, rozkładając siły żucia na większą liczbę filarów.
Poniżej zestawiamy najważniejsze różnice między All-on-4 i All-on-6 w formie krótkiego porównania. Może ono pomóc uporządkować informacje po konsultacji i łatwiej podjąć świadomą decyzję.
| Kryterium | All-on-4 | All-on-6 |
|---|---|---|
| Liczba implantów | 4 implanty na łuk | 6 implantów na łuk |
| Zakres zabiegu | Mniej inwazyjny, krótszy zabieg | Nieco dłuższy i bardziej rozległy zabieg |
| Stabilność biomechaniczna | Wysoka, wystarczająca w wielu przypadkach | Bardzo wysoka, większy margines bezpieczeństwa |
| Koszt leczenia | Zwykle niższy, korzystniejszy w badaniach kosztowych | Wyższy z uwagi na większą liczbę implantów |
| Powikłania techniczne | Nieco częstsze drobne naprawy mostu | Mniej komplikacji protetycznych w niektórych badaniach |
| Zastosowanie | Często przy umiarkowanym zaniku kości, bez silnego bruksizmu | Preferowane przy słabszej kości i dużych siłach zgryzowych |
All-on-4 i All-on-6 to dwie sprawdzone metody, które pozwalają odzyskać pełny uśmiech w bardzo krótkim czasie, często w jeden dzień, a różnice między nimi dotyczą głównie liczby implantów, zakresu zabiegu, marginesu bezpieczeństwa biomechanicznego i kosztu. W naszej klinice zawsze zaczynamy od szczegółowej diagnostyki i rozmowy, aby dobrać rozwiązanie, które najlepiej odpowiada warunkom kostnym oraz oczekiwaniom pacjenta, a następnie prowadzimy go przez cały proces leczenia i opieki pozabiegowej, tak aby mógł cieszyć się pięknymi, mocnymi i funkcjonalnymi „nowymi zębami” jak najbardziej zbliżonymi do naturalnych.
Nowe Zęby ul. Katowicka 81E/111, 61-131 Poznań